На этой странице представлены полезные посты, для ознакомления нужно открыть пост.
Приятного чтения 😉

Ангуляция
Собачники (люди, которые показывают и/или ответственно разводят своих породистых собак) склонны много говорить...

Анализ аномалий и стратегии управления
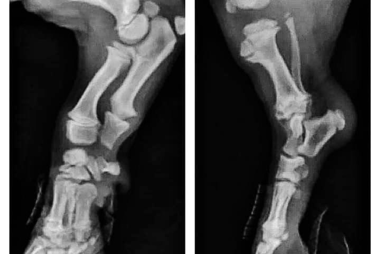
Кривое радио, также известное как лучевая кривизна, — ортопедическая аномалия, которая влияет на структуру радиокости...

Знаки в Шагах
American Bully Kennel Club (ABKC) разработал четкие и точные рекомендации для заводчиков американских булли,...

Формирование костей у щенка
Когда вы получите своих щенков в возрасте 8 недель, пожалуйста, помните эти изображения. Их кости еще даже...

Дисплазия
Однозначного ответа наверное нет ни у кого, но я придерживаюсь мнения 80% европейских и английских...

Костная конструкция.
Скелет американского булли состоит примерно из 319/321 костей, как и большинство собак в зависимости от породы...

