Костная конструкция.
Скелет американского булли состоит примерно из 319/321 костей, как и большинство собак в зависимости от породы и морфологии. Важность хорошей костной структуры в этой породе и в собаках в целом заключается в ее непосредственном влиянии на здоровье, подвижность и качество жизни животного.
Хорошо сформированный и крепкий скелет имеет решающее значение для обеспечения структурной поддержки организма собаки, обеспечения правильной подвижности, защиты внутренних органов и оптимальной работы мышечной и нервной систем. Хорошая конструкция костей способствует коррекции осанки, предотвращает травмы и снижает риск ортопедических проблем на протяжении всей жизни собаки.
В конкретном случае американского булли, хорошая костная структура имеет решающее значение из-за его прочной и мускульной структуры. Прочная и хорошо развитая костная структура обеспечивает необходимую основу для поддержки веса и мышц этой расы, помогая предотвратить травмы или проблемы, связанные с развитием мышц.
Кроме того, хорошая конструкция костей может повлиять на способность собаки участвовать в физических нагрузках, собачьих видах спорта или упражнениях, способствующих общему самочувствию. Это также может способствовать улучшению качества жизни по мере старения собаки, снижению риска дегенеративных заболеваний или проблем, связанных с подвижностью.
Pablo Daniel Liceran
Старший судья ABKC

Дисплазия
Однозначного ответа наверное нет ни у кого, но я придерживаюсь мнения 80% европейских и английских ветеринаров.
Дисплазия бывает всех суставов. Начнем с того, а что такое дисплазия в принципе? Объяснение ниже касается дисплазии любого сустава.
Дисплазия (греч. dys — отклонение от нормы, plasis — формирование, образование; dysplasia — нарушение развития). Дисплазия — это анатомический дефект неверного или нарушенного развития сустава, представляющий опасность нарушения опорно-двигательных функций. При дисплазии также имеют место быть вторичные факторы, как артроз, артрит и тд. Наследование дисплазии различных суставов и ее возникновение имеют разные факторы.
Дисплазия ТБС на 90% не является генетической, а является проблемой выращивания.
Говоря о выращивании, мы имеем в виду:
-Неправильные (не породные) и чаще всего слишком большие физические нагрузки
-Неправильное питание (к примеру несбалансированный натуральный корм)
-Неправильное покрытие пола (скользкий пол)
-Излишек веса у щенка
-Неправильное супплементирование собаки добавками, витаминами, излишек кальция в рационе
Кроме того, к дисплазии ТБС приводят также изменения в анатомической структуре поясничных позвонков (к примеру очень часто встречающийся у Голденов спондилез), коровий постав задних лап (не генетическая коровина), с которой хозяева ничего вовремя не сделали. (к примеру не изменили качество и количество нагрузок + не изменили супплементирование теми или иными добавками.)
Дисплазия ТБС НЕ ВИДНА «на глаз» или «на ощупь», мало того, собака при дисплазии ТБС обычно может не хромать и может превосходно двигаться.
Но, как я написала выше, при дисплазии всегда возникают вторичные признаки, как артроз и артрит и именно они, могут вызывать хромоту.
Дисплазия не лечится, но вторичные признаки артроза и артрита можно держать под контролем. Можно очень сильно замедлить и даже остановить их прогрессирование, правильными кормовыми добавками, правильным уходом, питанием и массажем, и плаванием. Если мы выполняем эти 4 пункта, то собака даже с самой большой степенью дисплазии может прожить совершенно нормальную жизнь.
Дисплазия может быть установлена посредством рентгена или КТ (в определенных случаях). Для того, чтобы получить правильную картину, собака должна быть правильно разложена для рентгена.
Кроме того, хочу добавить: очень часто, когда собака захромала на заднюю ногу — мы имеем дело не с дисплазией, а с травмой, микротравмой, растяжением, надрывом или надрывом связки в колене.
А вот эту проблему лучше решать как можно скорее. И избавляться от нее побыстрее, потому как в противном случае, последствия буду аукаться всю жизнь.
К сожалению, очень часто, при хромоте на заднюю ногу, без рентгенов выносится вердикт дисплазия, а на самом деле мы имеем дело с проблемами в коленном суставе.
Степени дисплазии ТБС бывают в Европе:
А, B, C, D, E,
А и В отсутсвие дисплазии. В дается тем собакам, у которых сустав не идеален на 1000%
С — самый легкий вариант дисплазии. При ней, сам сустав в порядке, но есть артроз или артрит небольшой.
Д — не в порядке сустав и есть сильный артрит и артроз. Собаки с Д в Европе не допускаются в разведение, в связи с тем, что процент генетики хоть и небольшой в дисплазии ТБС, но есть.
Е — сильнейшая дисплазия, то есть вертлужная впадина практически не развита и сильнейший артроз и артрит.
________________________________________________________________________________
В Англии не используют буквы, потому что идеала, еще раз повторю, не существует. Минимум цифра естественно 0-0, (дается цифра на каждый сустав отдельно), но к примеру у Голден ретриверов, за всю историю, есть только одна собака, которая имела 0-0. Среднестатистическая цифра на Голденов в Англии на данный момент 19 на оба бедра. Собак до 19 используют в разведении без каких-либо ограничений. Но естественно, чем ниже сумма цифр — тем лучше. Все, что до 10 — это считается просто идеалом.
______________________________________________________________________________
Я еще раз, хочу повторить, что дисплазия тазобедренных суставов по большей части не является генетической проблемой.
Все щенки рождаются с ИДЕАЛЬНЫМИ суставами. (естественно если не было родовой травмы, и если щенка не тащили за задние ноги из мамы и тд и тп)
Это просто факт.
Только все эти суставы совсем мягкие у щенка. Как пластилин. Можно лепить что угодно.
Сначала лепит заводчик:
сюда входит правильное покрытие загона, правильное питание,
правильная кондиция щенка, то есть к примеру щенок даже до 10 дней не должен быть слишком толстым, это нужно буквально каждый час отслеживать, если щенок слишком много поел и лежит как бочонок, его нужно отложить подальше от мамы, чтобы ему приходилось ползти к маме и не слишком толстеть.
Почему так рано? А потому что дней в 10, они начнут вставать на лапочки, да только вот суставчики как пластилин. Если щенок толстый, то уже с первого шага, он начинает портить себе суставы.
Следующий важный пункт: пока щенок был в утробе, у мамы был тот или иной обмен веществ и тот или иной гормональный фон. Этот обмен веществ и гормональный фон, закладывает в щенка программу о его личном гормональном фоне и обмене веществ. Если программа заложена неправильно (а она будет заложена неправильно, если у мамы неправильный гормональный фон во время беременности, или неправильное питание, или есть небольшая проблема с почками), то щенок хоть и родится как я сказала с идеальными суставами, он будет неправильно развиваться.
Теперь дальше:
Щенки уже ходят, бегают, но еще у заводчика. Заводчик 24 часа в сутки должен следить, чтобы было правильное покрытие, чтобы щенки не падали, чтобы правильно кушали, чтобы не было сквозняков.
Потом щенок поехал к новым людям: каждый шаг щенка, каждая нагрузка щенка, каждый прыжок щенка — это нагрузка на сустав. Если нагрузка неправильная, то сустав, который все еще очень мягкий, в месяца 2-3 — это всего лишь хрящ, такой же мягкости, как на куриной ноге, который многие люди любят отгрызать у жаренной курицы. Физическая нагрузка моделирует сустав. Питание, неправильные добавки — помогают или портят обмен веществ, который отвечает уже за рост и формирование качества кости. То есть нагрузки сустав моделируют, питание — добавки формируют то или иное качество кости, связок, суставов и тд. Здоровый сустав это комбинация модели сустава (вертлужка, округлость сустава и тд) и качества кости (артроз, жесткость — мягкость кости и тд)
Говоря про выращивание щенка я говорю о:
1/беременность суки
2/выращивание щенка у заводчика
3/выращивание щенка у хозяина
То есть сустав моделируется в зависимости от выращивания. Генетическая предрасположенность говорит только о том, что к примеру щенку без генетической предрасположенности нужно будет грубо говоря 100 прыжков, для того, чтобы модель сустава стала неправильной, а щенку с генетической предрасположенностью нужно будет всего 30. Вот и вся разница.
Суставы до того момента как закрылись пластины роста (это происходит где-то от 11 до 18 месяцев в зависимости от породы) не есть какая-то данность. Это просто пластилин. Что слепим — то и будет.....
Качество кости зависит от беременности суки, и от правильного питания и добавок.
Именно такую позицию занимают европейские и английские ветеринары.
И уже очень давно они так считают… Потому что когда 30 лет назад ввели разные схемы проверки здоровья, все быстро увидели, что не сходится информация по дисплазии, если это только генетика.
В Европе и Англии, ветеринары ищут корень проблем, а не просто выносят заключения тыкая пальцем в небо. И начав искать корень, ветеринары вынесли свое заключение, и не просто из головы, а именно по результатам тестирования по породам.
Каждая страна имеет полную статистику по здоровью на каждую породу. Есть очень много пород, которые могут иметь щенков только имея тесты. Поэтому статистика жесткая, все компьютезировано, заводчики и врачи имеют доступ к датабазам.
Собак «для здоровья» как в России здесь по определению не вяжут, родословную получают только те щенки, у родителей которых есть миллион бумажек и выполнено миллион требований, и в Европе комиссия по дисплазии состоят из 7-10 ветов ортопедов, чаще всего профессоров, которые в независимости друг от друга выносят свой «приговор».
Если у них есть сильные расхождения, то эти ветеринары встречаются и рассматривают снимки вместе и приходят к консенсусу.
Кто точно эти ветеринары не знает никто, и дать им взятку за хороший результат по определению невозможно.
После того, как у собаки закрылись пластины роста, изменить положение сустава невозможно, а вот до этих пор, все моделируется хозяевами, правильными нагрузками, правильным выращиванием, и правильными добавками.
Дисплазия других суставов имеет полностью генетическое происхождение, во всяком случае на данный момент ветеринары всех стран сходятся в этом мнении.
Поэтому, лучше не использовать в разведении собак с диплазией к примеру локтей более, чем 1-1.
Помочь собакам с такой дисплазией может только правильный уход, правильные добавки и правильное питание, но к сожалению раньше или позже, собака будет чувствовавть неудобства. Чего к примеру не происходит при дисплазии ТБС.
_________
Тамара Хейреманс (Бельгия)

Длинные когти
ПРО ВЛИЯНИЕ ДЛИННЫХ КОГТЕЙ У СОБАКИ НА ЗДОРОВЬЕ СУСТАВОВ.
Автор: Исламова Ю.
Сколько я знаю собак, которые не дают стричь когти, потому что у них воспалены уже от постоянной ударной нагрузки суставы пальцев! И им просто больно, очень больно стричь когти.
Если вы когда-нибудь сильно ударялись пальцем на ноге, а потом решались подстричь на нем ноготь — то вы знаете какие это незабываемые ощущения. А ведь собачьи когти куда жестче. И поэтому их сдавливание и резкий щелчок при смыкании когтереза отдаются во всей больной лапе.
Собаки пальцеходящие животные, в отличие от человека. Поэтому здоровье пальцев влияет на здоровье собаки напрямую.
Как понять, что у собаки есть проблема с когтями и что делать?
1. Если собака стоит, ее когти не должны касаться земли. Если они касаются хоть немножко, значит ходьба по любой твердой поверхности будет приводит к ударной нагрузке на суставы пальцев. Они довольно выносливы в плане амортизации веса собаки, но совсем не терпят таких постоянных ударов прямо по когтю.
2. Если собака двигается шагом/рысью по полу или дорожке, то не должно быть стука когтей. Негромкое и не постоянное постукивание бывает, но, если это прям кастаньеты — надо укорачивать когти. Особенно это важно для пожилых собак, у которых снижена подвижность, и они уже не так корректно ставят лапы при движении. Вот им — чем короче когти, тем лучше.
3. Если собака живет на участке, гуляет по лесу/полю и практически никогда не двигается по твердой земле и асфальту, можно немного расслабиться. Просто следить, чтобы стоящая собака не упиралась всеми когтями в землю. Укорачивать при необходимости. И подрезать короче при выезде в город.
4. Если собака не дает стричь когти, если у нее кажутся увеличенными суставы пальцев на передних лапах по сравнению с задними, если не дай бог вы замечаете покраснение вокруг ногтя или между пальцами — очень вероятно, что уже пошло воспаление.
Возможно, стоит подстричь когти коротко в ветеринарной клинике (некоторым особо пугливым или агрессивным собакам даже стоит стричь их под седацией — предварительно, конечно, проверив сердце и сдав кровь). И уже потом следить за длинной укороченных когтей, постепенно приучая собаку к гриндеру (автоматической точилке для когтей).
5. Если собака при длинных когтях часто перевозбуждена на прогулке, не хочет идти шагом и постоянно тянет поводок, может быть агрессивна — возможно, ей просто больно. И она пытается бежать быстрее в том темпе, который уменьшает боль. Особенно это бывает выражено при движении по твердым поверхностям.
Проверьте — перейдите с собакой на травку и посмотрите, не станет ли ей легче через насколько минут.
6. Чтобы было легче стричь ломкие когти — предварительно дайте собаке постоять в воде или стригите после мытья лап. Для многих собак идеальным вариантом будет сначала обстричь кончики когтей, а потом укоротить остаток гриндером.
При подпиливании гриндером обязательно удерживайте коготь пальцами, чтобы почувствовать, если он перегревается от трения. И сделать паузу (например, перейти пока к другому когтю).
Отдельно про миф «собаки в дикой природе отлично живут и так»:
— да, действительно, волкам и диким собакам никто не стрижет когти. Первые не ходят по асфальту, зато очень много копают. А на задних лапах грызут когти, как только они начинают причинять дискомфорт.
Бродячие собаки передвигаются по асфальту, но они двигаются около 6-9 часов в день (остальное это дрема, отдых и сон). Плюс они тоже много копают, когда мышкуют или делают лежки. На задних лапах они тоже когти просто грызут, если есть дискомфорт.
— у всех собак когти растут немного по-своему. Это связано с поставом лап, с нагрузкой, с привычными паттернами движений. У одних собак когти загибаются книзу и поэтому быстро стачиваются об асфальт при активных прогулках. У других растут вперед и вообще не стачиваются.
У третьих когти врожденно более мягкие и стачиваются легче. А есть собаки, на когтях которых легче сломать когтерез, чем их отстричь.
— те дикие и бродячие собаки, когти которых начали причинять дискомфорт, не стачиваются и приводят к воспалению суставов, умирают на улице в 6-7 лет (чаще раньше, вообще у бродячих собак средний возраст смерти это 3-4 года).
А мы, владельцы, заинтересованы, чтобы наши собаки жили долго и максимально сохраняли активность и подвижность.
Так что когти — это важно. Очень. Уж лучше забить на мытье и ежемесячную чистку ушей, чем на здоровье лап. Ведь здоровые лапы — это здоровая и активная собака.

Формирование костей у щенка
Когда вы получите своих щенков в возрасте 8 недель, пожалуйста, помните эти изображения. Их кости еще даже не соприкасаются. Они так мило ходят большими мягкими лапами и шатаются, потому что их суставы полностью состоят из мышц, сухожилий, связок с кожным покрытием. Пока еще ничего не прилегает плотно друг к другу и не имеет настоящего суставного гнезда.
Когда вы слишком много их бегаете или не ограничиваете их упражнения, чтобы они не переусердствовали в этот период, вы не даете им возможности нормально расти. Каждый большой прыжок или возбужденный подпрыгивающий бег вызывает удары между костями. В разумных количествах это не проблема и является нормальным износом, который происходит у любого животного.
Когда вы позволяете своему щенку прыгать вверх и вниз с дивана или кровати, водите его на длительные прогулки/походы, вы повреждаете этот формирующийся сустав. Когда вы позволяете щенку карабкаться по плитке без сцепления, вы повреждаете сустав.
У вас есть шанс вырастить их только один раз. Хорошо сложенное тело — это результат отличного разведения и отличного воспитания — ОБА, а не только одного.
Когда они вырастут, у вас будет остаток их жизни, чтобы играть и заниматься более эффективными упражнениями. Так что сохраняйте спокойствие, пока они еще маленькие щенки, и сделайте им подарок, который можно сделать только один раз.
Автор: Патрисия Креспо
Фото Veteriankey.com @62 days
Многие кости не срастаются полностью до 13 месяцев.

Знаки в Шагах
Перевод автоматический
ЗНАКИ В ШАГАХ
American Bully Kennel Club (ABKC) разработал четкие и точные рекомендации для заводчиков американских булли, подчеркнув важность поиска экземпляров, обладающих большим содержанием и структурой костей. Эта ориентация отвечает необходимости сохранения и улучшения отличительных характеристик породы, обеспечивая при этом ее здоровье и благополучие.
Поиск веществ и костей
ABKC заявила, что одной из фундаментальных целей в разведении американского булли является развитие собак с большей мышечной массой и твердой костной структурой. Это исследование не только сосредоточено на эстетике, но и имеет значительные последствия для здоровья и функциональности собаки.
1. **Существо**: «Существо» означает плотность мышц и общий объем собаки. Азбука призывает селекционеров выбирать образцы, которые не только визуально поражают, но и обладают четко определенной и сбалансированной мышцей. Это гарантирует, что собаки обладают необходимыми силами для выполнения физических нагрузок, соответствующих их энергетике.
2. **Структура костей**: Стремление к лучшему развитию костей имеет не менее важное значение. Собаки с прочной костной структурой, как правило, лучше готовы переносить дополнительный вес мышц без ущерба для их подвижности и здоровья суста В Азбуке подчеркивают, что селекционеры должны тщательно оценивать костнообразование при выборе образцов размножения
Последствия для создателей
Заводчики обязаны соблюдать эти инструкции, чтобы обеспечить не только соответствие норм ABKC, но и общее благополучие собак. Это означает:
— **Тщательная оценка**: Проводить тщательную оценку собак перед включением их в программы разведения, гарантируя их соответствию критериям, установленным АБКС по содержанию и структуре.
— **Продолжающее обучение**: Будьте в курсе лучших практик в области собаководства и здоровья, участвуя в семинарах и практикумах, организованных ABKC.
— **Этическая ответственность**: Примите этический подход ко всем решениям о воспитании, всегда ставя приоритет здоровью перед простыми эстетическими особенностями.
Очень важно, чтобы мышечный тонус американского булли сопровождался правильной структурой кости для достижения оптимального баланса у собаки. Впечатляющее развитие мышц без правильной поддержки костей может привести к проблемам со здоровьем и мобильно Поэтому важно, чтобы селекционеры искали образцы, которые не только имеют четко определенную мышцу, но и обладают прочной и пропорциональной костью. Этот баланс гарантирует, что собака не только эстетически привлекательна, но и функциональна и здорова, способна поддерживать собственную мышечную массу без ущерба для самочувствия.
Инициатива ABKC по продвижению American Bullies с большим количеством веществ и костей является важным шагом к дальнейшему улучшению породы. Соблюдая эти рекомендации, заводчики будут не только способствовать эстетическому развитию американского булли как «настоящего быка», но и гарантируют здоровую, функциональную и активную жизнь. Сотрудничество между селекционерами, азбукой и собачьим сообществом имеет важное значение для достижения этих целей.
Оригинальный текст — редакция #33
Pablo Daniel Liceran
Старший судья ABKC

Анализ аномалий и стратегии управления
Перевод автоматический
Когда эти локти выступают!
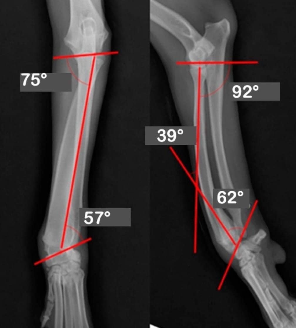
**Радио Curvo у собак: Анализ аномалий и стратегии управления**
Кривое радио, также известное как лучевая кривизна, — ортопедическая аномалия, которая влияет на структуру радиокости передних конечностей собаки. Это состояние характеризуется деформацией формы радио, представляющей себя аномальной изгибой, способной влиять на функциональность и самочувствие животного.
**Этиология Кривого Радио**
Этиология изогнутого радио может быть многофакторной. К числу наиболее распространенных причин относятся:
1. **Генетические факторы**: Некоторые расы могут иметь генетическую предрасположенность к развитию скелетных аномалий, включая радиоизкривление. Это может быть результат искусственного отбора во время размножения, где некоторые физические черты отдаются в приоритет перед другими.
2. **Недоедание и недостатки питания**: Нехватка основных питательных веществ на этапах роста может повлиять на нормальное развитие костей. Например, дефицит кальция, фосфора или витамина D может привести к деформации скелета.
3. **Травма**: Неправильные травмы или переломы в области предплечья могут привести к аномальному росту костей, вызывая нежелательную искри
4. **Патологические состояния**: метаболические или инфекционные заболевания, затрагивающие скелетную систему, также могут привести к радиодеформации.
** Функциональное и клиническое воздействие**
Наличие изогнутого радио может иметь несколько клинических последствий. В зависимости от тяжести изгиба собака может испытывать боль при ходьбе, трудности с бегом или прыжком, повышенный риск дополнительных травм. Кроме того, это состояние может изменить нормальную механику движения и предрасположить вторичные проблемы суставов, такие как артрит.
**Обработка и лечение**
Управление изогнутым радио требует многодисциплинарного подхода, включающего правильную ветеринарную диагностику и структурированный план лечения:
1. **Ветеринарная оценка**: Ветеринарный врач-ортопед должен провести тщательный физиосмотр и рентгенографические исследования для определения тяжести изгиба и оценки любых связанных с этим
2. **Хирургическое вмешательство**: В тяжелых случаях, когда функциональность конечностей нарушена, можно считать ортопедической хирургией для коррекции искривления через остеотомию (резание кости) и стабилизации внутримедулярными пластинами или ног
3. **Физическая терапия**: Послеоперационная реабилитация имеет решающее значение для восстановления нормальной функции пораженной конечности. Физиотерапия может включать специальные упражнения для укрепления окружающих мышц и улучшения подвижности суставов.
4. **Пищевая добавка**: Обеспечение сбалансированного питания, богатого важными питательными веществами, имеет решающее значение для содействия здоровому развитию костей и предотвращения
5. **Постоянный мониторинг**: Важно регулярно проводить обследования для оценки хода лечения и при необходимости внести коррективы.
Кривое радио у собак — аномалия, требующая должного профессионального ухода для обеспечения благополучия пострадавшего животного. Благодаря точной диагностике и комплексному терапевтическому подходу можно значительно улучшить качество жизни собаки и восстановить ее функциональность. Для предотвращения такого состояния у будущих поколений жизненно важно также непрерывное обучение по вопросам ответственного воспитания детей.
Оригинальный текст — редакция No 31
Pablo Daniel Liceran
Старший судья ABKC
.

Ангуляция
ПЕРЕВОД АВТОМАТИЧЕСКИЙ
Ангуляции
Собачники (люди, которые показывают и/или ответственно разводят своих породистых собак) склонны много говорить о «ангуляции», но владельцы домашних животных также должны знать, что такое «ангуляция», потому что это может повлиять, например, на ваше решение пробежать с собакой, на сколько и на какой поверхности.
Просто «Агуляция» означает углы, образующиеся при сходке костей собаки при стоянии. Углы образуются на плечах собаки, тазобедренных суставах, области таза, задней креплении и других местах, о которых мы будем говорить со временем. Правда, пока речь идет о заднем углу собаки.
«Правильная» ангуляция породы собак позволяет собаке выполнять работу, для которой она изначально была выращена. Вообще говоря, слишком большая ангуляция (левая схема) может вызвать повреждение суставов, нервов и мышц. Слишком мало называется быть «прямым сзади». «Слишком мало и слишком много ангуляции приводит к тому, что собака с уменьшенной выносливостью. „Верность собаки и большое сердце заставят ее не отставать от хозяина, чтобы бегать мили, но если собака построена неправильно, она будет страдать. В конце концов собака может стать артритом, и его хозяин никогда не узнает, что пробежки не помогли, потому что они не знали важности структуры. Не будь таким человеком.
Книг на эту тему много, но мы предпочитаем книги, которые легко понимаются и хорошо иллюстрируются. Первым делом должна быть классика Рэйчел Пейдж Эллиот, ‚Собачьи шаги, иллюстрированная походка при взгляде‘. ‚‚Еще одна книга — ‚‚Какой твой угол: понимание углости и структуры ролевой собаки‘“ Хелен Гриннел Кинг. »

